いわゆる「出っ歯」を治療した事例を紹介します。
上の前歯やあごが前に出てしまう状態です。「上顎前突(じょうがくぜんとつ)」といいます。
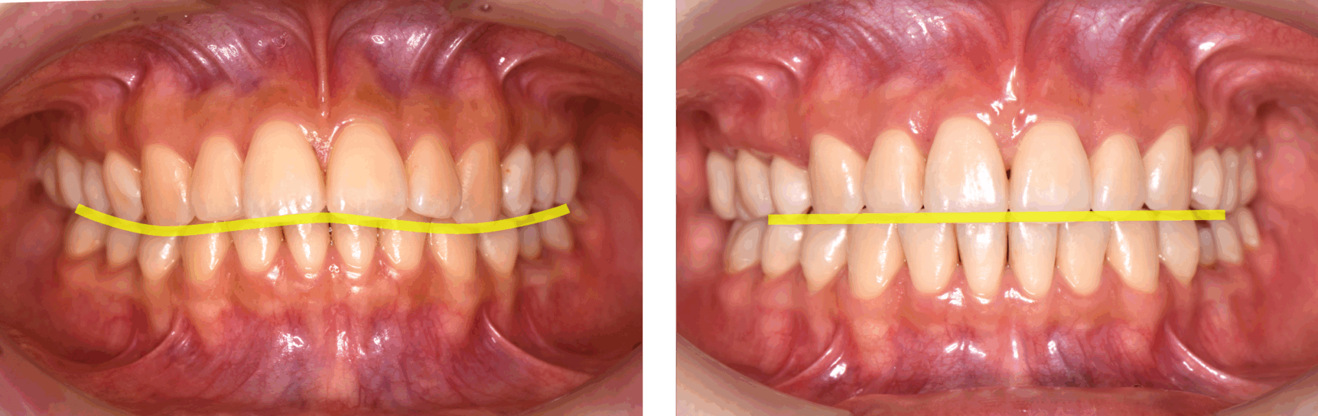
綺麗に治療完了しました。
正面
右側面
左側面
上顎
下顎
いわゆる「出っ歯」を治療した事例を紹介します。
上の前歯やあごが前に出てしまう状態です。「上顎前突(じょうがくぜんとつ)」といいます。
綺麗に治療完了しました。
正面
右側面
左側面
上顎
下顎